Prof. Dr. Thomas Attin
Samstag, 09.11.2019 von 14:00 bis 15:30 Uhr
Saal Harmonie
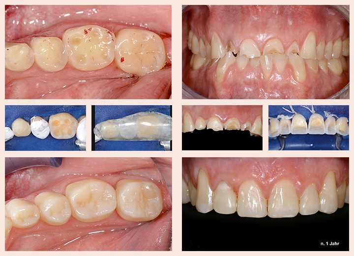
Zahnerosionen und -abrasionen sind oftmals mit sehr ausgeprägten Zahnhartsubstanzdefekten verknüpft. Dies bedeutet, dass häufig umfangreiche Restaurationen an vielen Zähnen erforderlich sind, mit denen gleichzeitig eine Bisshebung vorgenommen wird. Für die dazu erforderlichen Restaurationen stehen heute verschiedene Methoden und Materialien zur Verfügung. So kann die neue Okklusionsposition mit Rekonstruktionen aus Komposit oder Keramiken realisiert werden. Dabei können CAD/CAM-Verfahren, laborgefertigte Werkstücke oder direkte Adhäsivtechniken mit plastischen Kompositen zum Einsatz kommen. Alle genannten Verfahren und Materialien sind erprobt und zeigen wie jedwede Therapieform spezifische Vor- und Nachteile.
Ein Vorteil der die Herangehensweise der Bisshebung mit Komposit-Restaurationen in direkter Adhäsivtechnik liegt darin, dass es ein durch Studien abgesichertes Verfahren ist, bei dem i.d.R. zum bereits eingetretenen säure- oder abrasionsbedingten Zahnhartsubstanzverlust keine zusätzliche Präparation am Zahn zur Aufnahme des Restaurationsmaterials erforderlich ist. Dies gilt gleichermaßen für den Front- und Seitenzahnbereich. Es ist selbstverständlich, dass diese neuen umfangreichen Kauflächen durch eine (zumindest) in der Nacht getragene "Knirscherschiene" geschützt werden müssen.

