KONGRESSABSCHLUSS

Sonnabend, 13. November 2010, 16:00 - 17:30 Uhr
Congress Center im großen Saal Harmonie

Wie würden Sie entscheiden?

(HDTV live-on-tape Präsentation)

Behandlungsplanung und Therapieoptionen bei einem komplexen endodontischen, implantologischen, perioprothetischen Fall mit einem Statement zum Honorarmanagement

TED-Abstimmung

OP-Team: Dr. Markus Schlee (Forchheim)
Honorarmanagement: S. Wuttig
Regie: Dr. G. Basting

Per TED stimmen Sie an jedem entscheidungsrelevanten Schritt über das weitere klinische Procedere ab. Nachfolgend die Daten zur Anamnese, die Befunde und die Diagnosen.

Erleben Sie live und interaktiv die Entscheidungsprozesse des OP-Teams und der Kongressteilnehmer.

Der komplexe Fall
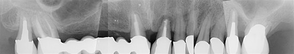
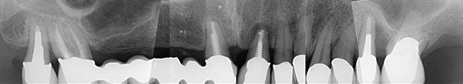
Abb. 1a: Röntgenstatus vom 14. Juli 2009
Der komplexe Fall
Abb. 1b: Röntgenstatus vom 14. Juli 2009
Der komplexe Fall
Abb. 2

Anamnese

Die 48-jährige Patientin stellte sich am 14.7.2009 bei uns in der Praxis vor. Sie strebe eine prothetische Neuversorgung an, da Sie immer wieder Probleme mit zervikaler Karies, rezidivierende Parodontitis, Rezessionen und nun lockeren Zähne habe. Sie beobachte eine Xerostomie mit einer generalisierten Rötung der Gingiva seit der medikamentösen Begleittherapie einer Mastektomie nach Mama-CA im Jahr 2002. Das Medikamentenregime gliedere sich wie folgt:

  • Standartchemotherapie (3 Monate);
  • Trastuzumab (Herceptin®, HERA Studie, therapeutischer humanisierter monoklonaler Antikörper gegen den Wachstumsfaktorrezeptor HER2/neu) für 2 Jahre;
  • dann Letrozol (Femara®, Aromatasehemmer, blockieren die Umwandlung von Androgenen in Östrogene) zur Brustkrebs-Rezidivprophylaxe bis heute.

Des Weiteren leide sie an einer Neurodermitis. Aus allgemeinmedizinischen Gründen wolle Sie jegliches gesundheitliches Risiko, das von Zähnen ausgehe, minimieren. Die Versorgung im Unterkiefer würde Sie – falls möglich – gerne erhalten, die ästhetischen Ansprüche sind hoch.

Befunde und Diagnosen

Die Speichelfließrate in Ruhe betrug 0,2 ml/min (Norm 0,3-0,4 ml/min), die stimulierte Speichelfließrate betrug 0,22ml/min und 1,1 ml / 5min (Norm 2,0 ml/min) bei hoher Pufferkapazität. Erhöhtes Kariesrisiko bei vorliegender Xerostomie.

Abbildung 1: Radiologisch liegen folgende Diagnosen vor: Insuffiziente Wurzelfüllungen an 18,17,21,26, Beherdung an 21, zervikale Karies an 17,11, enge Wurzelproximität an 18,17, Tiefer intraalveolärer Knochendefekt an 25,26.

Abbildung 2: Grafische Darstellung des parodontalen Befunds.

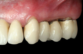
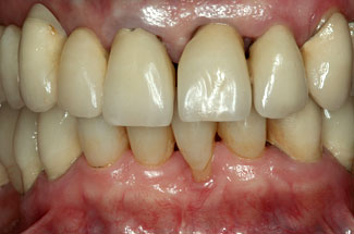
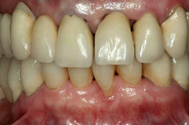
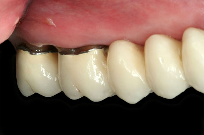
Abbildungen 3-5: Die klinischen Fotographien zeigen den Zustand nach der ersten professionellen Zahnreinigung.

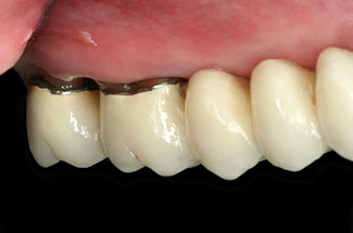
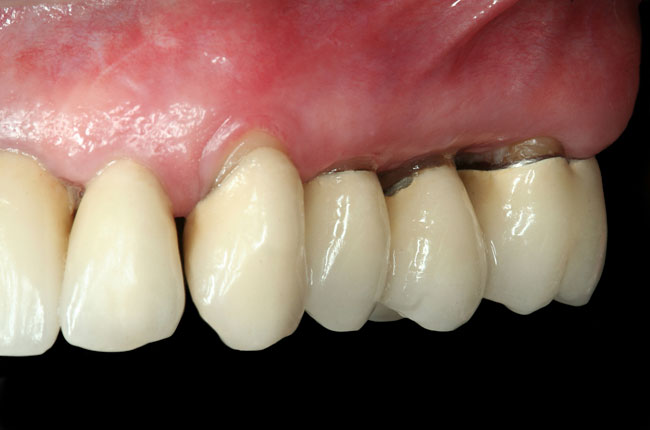
Der komplexe Fall Der komplexe Fall
Abb. 3
Abb. 4
Der komplexe Fall Der komplexe Fall
Abb. 5
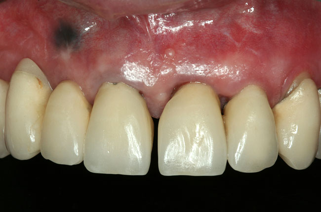
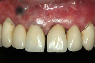
Abb. 6

Fragestellung mit TED Abstimmung

TED-Abstimmung Wie könnte eine unter allgemeinmedizinischen Kriterien sichere Versorgung aussehen, die den Vorstellungen der Patientin in Bezug auf Ästhetik und Komfort entspricht? Per TED stimmen Sie an jedem entscheidungsrelevanten Schritt über das weitere klinische Procedere ab. Wir wünschen Ihnen schon heute ein spannendes und erkenntnisreiches Kongresserlebnis!
 
  Copyright © 2010 Quintessenz Verlags-GmbH, Berlin